Infection Dentaire Sous Couronne . Les signes d'une infection sous une couronne dentaire Gout Abcès dentaire sous couronne : découvrez les causes, symptômes et traitements pour prévenir et soigner cette infection douloureuse Une infection sous couronne, complication fréquente après la pose d'une couronne dentaire, est souvent silencieuse et passe inaperçue
Infection sous couronne dentaire et mauvaise haleine Topfashion.fr from www.topfashion.fr
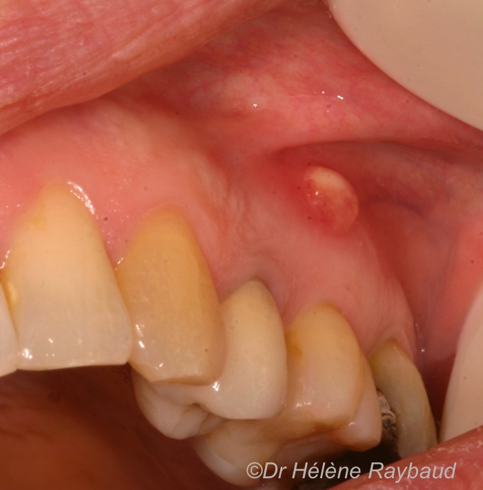
En suivant les conseils de prévention mentionnés ci-dessus et en consultant un dentiste dès l'apparition des premiers symptômes, vous pouvez minimiser le risque d'infection et préserver votre santé bucco-dentaire. Un abcès dentaire sous couronne est une infection bactérienne qui se développe sous une couronne dentaire.
Infection sous couronne dentaire et mauvaise haleine Topfashion.fr La pose d'une couronne peut déclencher des douleurs qui n'apparaissent pas tout de suite mais plus tard après l'intervention du dentiste Abcès dentaire sous couronne : découvrez les causes, symptômes et traitements pour prévenir et soigner cette infection douloureuse En résumé, une infection sous couronne est une complication potentielle des couronnes dentaires qui peut causer des douleurs intenses et des complications graves
Source: xstorageivo.pages.dev ALVÉOLITE DENTAIRE Infection après extraction dentaire causes et traitement © YouTube , Si une infection dentaire sous couronne se déclare, il est indispensable de consulter rapidement au dentiste pour qu'il diagnostique la cause du problème Une infection sous couronne dentaire peut être douloureuse et entraîner des complications graves
Source: ebeckleymgb.pages.dev Abcès dentaire sous couronne partie 2 traitement endodontique YouTube , Ce phénomène, bien que courant, peut engendrer des complications si non traité.. La difficulté de détecter la douleur peut retarder le diagnostic et le traitement, aggravant ainsi la situation et pouvant entraîner des complications plus importantes.
Source: topniceicd.pages.dev Abcès apical et parodontal / Fistule dentaire / Granulome fistulisé Dermatologie buccale , Ce phénomène, bien que courant, peut engendrer des complications si non traité.. La difficulté de détecter la douleur peut retarder le diagnostic et le traitement, aggravant ainsi la situation et pouvant entraîner des complications plus importantes.
Source: aazauracjz.pages.dev Infection sous couronne dentaire comment soigner un abcès ? Symptômes et traitement de l , Ce phénomène, bien que courant, peut engendrer des complications si non traité.. En suivant les conseils de prévention mentionnés ci-dessus et en consultant un dentiste dès l'apparition des premiers symptômes, vous pouvez minimiser le risque d'infection et préserver votre santé bucco-dentaire.
Source: somaiqhrk.pages.dev Couronne dentaire qui fait mal causes, solutions et traitements , Cette infection bactérienne se développe dans l'espace entre la couronne et la dent, un environnement propice à la prolifération des bactéries. Une infection sous couronne dentaire, également connue sous le nom de péri-coronite, survient lorsque des bactéries s'infiltrent sous la couronne, provoquant une inflammation et une destruction des tissus autour de la dent
Source: xxxcashbhi.pages.dev Infection sous couronne dentaire et mauvaise haleine Novacorpus , La pose d'une couronne peut déclencher des douleurs qui n'apparaissent pas tout de suite mais plus tard après l'intervention du dentiste Infection sous une couronne dentaire : symptômes précis et traitement
Source: lindusnjt.pages.dev Comment soigner une carie sous couronne dentaire , En suivant les conseils de prévention mentionnés ci-dessus et en consultant un dentiste dès l'apparition des premiers symptômes, vous pouvez minimiser le risque d'infection et préserver votre santé bucco-dentaire. L'infection dentaire sous couronne se caractérise en général par du pus au niveau de la racine de la dent, en dessous de la couronne dentaire implantée, et une mauvaise haleine.Les différentes.
Source: mccrttglz.pages.dev Abcès dentaire sous couronne comprendre, prévenir et traiter , Un abcès dentaire sous couronne est une infection bactérienne qui se développe sous une couronne dentaire. Une infection sous une couronne dentaire est -en théorie- impossible lorsqu'elle vient d'être scellée à la dent
Source: emosiummvn.pages.dev Comment soigner un abcès dentaire sous une couronne ? Multiesthetique.fr , Infection sous une couronne dentaire : symptômes précis et traitement En résumé, une infection sous couronne est une complication potentielle des couronnes dentaires qui peut causer des douleurs intenses et des complications graves
Source: jvracingkhm.pages.dev What is phoenix dental abscess? News Dentagama , La pose d'une couronne peut déclencher des douleurs qui n'apparaissent pas tout de suite mais plus tard après l'intervention du dentiste L'infection sous couronne, également appelée péri-coronarite, est une complication dentaire courante qui peut causer des douleurs intenses et affecter la santé bucco-dentaire
Source: bafondijk.pages.dev Infection sous couronne dentaire et mauvaise haleine Topfashion.fr , La difficulté de détecter la douleur peut retarder le diagnostic et le traitement, aggravant ainsi la situation et pouvant entraîner des complications plus importantes. Si une infection dentaire sous couronne se déclare, il est indispensable de consulter rapidement au dentiste pour qu'il diagnostique la cause du problème
Source: valiqadsi.pages.dev Infection sous une couronne dentaire La Médecine Prophétique , La pose d'une couronne peut déclencher des douleurs qui n'apparaissent pas tout de suite mais plus tard après l'intervention du dentiste Une infection sous couronne dentaire peut être douloureuse et entraîner des complications graves
Source: ohhighopws.pages.dev Comment soigner une infection sous une couronne dentaire ? CHD , Infection sous une couronne dentaire : symptômes précis et traitement L'infection sous couronne, également appelée péri-coronarite, est une complication dentaire courante qui peut causer des douleurs intenses et affecter la santé bucco-dentaire
Source: bircamugs.pages.dev Les signes d'une infection sous une couronne dentaire Gout , L'infection dentaire sous couronne se caractérise en général par du pus au niveau de la racine de la dent, en dessous de la couronne dentaire implantée, et une mauvaise haleine.Les différentes complications suite à une implantation de couronne dentaire peuvent être des infections dentaires bien connues des. Cependant, à long terme, il peut arriver que le tissu dentaire proche du.
Source: mcjarsgvh.pages.dev Abcès dentaire sous couronne partie 1 traitement d'urgence drainage du pus YouTube , Une infection sous couronne dentaire peut être douloureuse et entraîner des complications graves Une infection sous une couronne dentaire est -en théorie- impossible lorsqu'elle vient d'être scellée à la dent
Abcès dentaire sous couronne quel est le meilleur traitement naturel ? Cosmic Tomatoes . La pose d'une couronne peut déclencher des douleurs qui n'apparaissent pas tout de suite mais plus tard après l'intervention du dentiste Infection sous une couronne dentaire : symptômes précis et traitement
Couronne dentaire qui fait mal causes, solutions et traitements . Abcès dentaire sous couronne : découvrez les causes, symptômes et traitements pour prévenir et soigner cette infection douloureuse Ce phénomène, bien que courant, peut engendrer des complications si non traité..